Myopathie de Duchenne : un corps qui se paralyse lentement
La myopathie de Duchenne est une maladie rare qui affecte les muscles de l’organisme de façon progressive. Elle serait due à une mutation, une modification d’un gène particulier que l’on retrouve sur le chromosome « X ». En plus des solutions proposées pour accompagner le malade dans sa souffrance, de nouvelles recherches sont actuellement menées afin de trouver, à termes, une solution permettant de stopper radicalement l’évolution de cette maladie. De quelle manière la myopathie de Duchenne se manifeste-elle ? Pourquoi s’étend-elle au corps entier ? Si vous souhaitez pouvoir répondre à ces questions, je vous invite à lire cet article.
Le muscle : origine du mouvement
Un mouvement, une respiration, un battement de cœur… Voilà le travail de nos muscles. Au nombre de 640 et répartis dans tout notre corps à la manière d’une enveloppe, ils nous permettent de bouger, de se déplacer, de respirer, de digérer… De vivre ! Mais qu’est-ce qu’un muscle ?
Un muscle est un organe irrigué (relié à des vaisseaux sanguins qui le nourrissent) ayant la propriété de se contracter à la suite d’une stimulation nerveuse. Cela lui confère de nombreux rôles au sein de notre organisme. Nous avons pris soin de les différencier en 3 catégories, chacune associée à un type de muscle particulier :
- Muscle lisse
Les muscles lisses se contractent sans qu’on leur donne l’ordre de le faire. Ils sont utiles dans la digestion par exemple. Pour vous le représenter, imaginez un tuyau d’arrosage. L’eau passant dans le tuyau représenterait les aliments en digestion, et le tuyau lui-même représenterait les intestins. Maintenant, imaginez que de l’eau stagne au milieu du tuyau : les aliments sont présents dans les intestins. Comment les faire avancer ?
Pour cela, rien de plus simple : votre corps a tout prévu. Autour du tuyau se trouve une couche fine : le muscle. Sans que vous ne vous en rendiez compte, celui-ci va se contracter légèrement, d’une manière particulière. Essayez de placer un objet dans un tuyau souple. Pour le faire avancer, vous allez devoir appuyer, à l’aide de vos doigts, au niveau d’une extrémité de cet objet. Les muscles lisses fonctionnent de la même façon !
- Muscle squelettique
Ici, les muscles squelettique ne ressemblent en rien aux muscles lisses car ils sont reliés à des os, grâce à des tendons. De plus, ces muscles sont contrôlables, et sont donc utilisés lors des mouvements volontaires de notre corps. Attraper un objet ? Sauter ? Tourner la tête ? Tous ces mouvements font appel aux muscles squelettiques.
Pour fonctionner, ces muscles fonctionnent au moins par paire, et utilisent un ensemble de neurones. Pour plier un membre (ex : bras), le muscle (ex : biceps) se contracte grâce à une stimulation nerveuse, en même temps que le muscle opposé se détend (ex : triceps). Dans le cas où le muscle opposé ne se détendrait pas, le membre serait incapable de bouger : il serait paralysé.
- Muscle cardiaque
Le muscle cardiaque est particulier. En effet, il reprend à la fois l’organisation des muscles squelettiques et des muscles lisses. Dans son fonctionnement, le muscle cardiaque est semblable au muscle lisse car sa fréquence de contraction est gérée involontairement. Dans son organisation, les cellules musculaires cardiaques ressemblent fortement à celles du muscles squelettique.
Organisation des cellules musculaires en bonne santé
Il existe donc plusieurs formes de muscles dans notre corps. Mais comment sont-ils construits ?
Cellule musculaire lisse
Les cellules musculaires lisses sont des cellules plates possédant un noyau allongé en leur milieu, accolées contre les parois d’un organe creux (ex : intestins, comme expliqué plus haut). Elles sont recouvertes d’actine et de myosine (myofilaments), des protéines donnant à la cellule la capacité de se contracter.
Lorsque les cellules sont activées, les filaments de myosine glissent sur ceux de l’actine de manière à effacer la strie I (voir schéma suivant) : la cellule se contracte. Dans le cas où un réseau de cellules musculaires lisses est retrouvé autour de l’œsophage ou des intestins, la contraction de ces cellules entraine le rétrécissement du conduit. C’est ainsi que les aliments descendent petit à petit de la bouche à l’estomac, de l’estomac à l’anus (cf. Muscle lisse).
Cellule musculaire squelettique
La cellule musculaire squelettique est également composée de myofilaments qui donnent au muscle la capacité de se contracter. Cependant, l’organisation et la forme du muscle squelettique sont différents des cellules musculaires lisses :
- Les myofilaments sont organisés de façon à former des sarcomères. Au microscope, les myofilaments laissent voir des stries ;
- Les sarcomères sont mis les uns à la suite des autres, et sont regroupés par paquets que l’on nomme myofibrilles ;
- Les myofibrilles sont également regroupées pour former cette fois-ci des myocytes ou fibres musculaires, les cellules du muscle. Chacun de ces myocytes est entouré par une sorte de membrane ;
- Les myocytes sont rassemblés en un faisceau de fibres musculaires ;
- Enfin, les faisceaux de fibres forment le muscle.
Une organisation commune des myofilaments
Les deux types de cellules musculaires que nous venons de voir possèdent des sarcomères : assemblages spécifiques des myofilaments d’actine et de myosine.
Associé à ces sarcomères, on retrouve un assemblage de protéines (un complexe de protéines) dont le rôle est de maintenir les myofilaments en place : on parle d’un rôle de soutien. La présence de chaque protéine est primordiale, car si l’une d’entre elles manque à l’appel, le complexe pourrait ne pas remplir sa fonction. La cellule serait désordonnée.
La dystrophine est présente dans le complexe. Cette protéine maintient une certaine distance de sécurité entre l’actine et la membrane de la cellule musculaire afin d’assurer une bonne contraction du muscle sans que cela ne l’abîme.
Cependant, il arrive que la dystrophine soit inutilisable, comme dans le cas d’une mutation génétique par exemple.
La myopathie de Duchenne, ou dystrophie musculaire de Duchenne (DMD)
La myopathie de Duchenne, ou dystrophie musculaire de Duchenne, a été décrite pour la première fois en 1860. Elle est une maladie génétique récessive rare et grave due à la mutation d’un gène particulier sur le chromosome X.
Une maladie génétique récessive
Les informations génétiques qui codent le fonctionnement et la composition de notre corps (deux oreilles, yeux bleus…) se trouvent dans le noyau de nos cellules. Plus précisément, elles sont réparties sur 23 paires de chromosomes dont la dernière paire détermine notre sexe biologique. Ainsi, si la cellule comprend deux chromosomes X à ce niveau-là, la cellule correspond à celle d’une personne de sexe féminin. Si par contre la cellule comprend un chromosome X et un chromosome Y, la cellule appartient à une personne de sexe masculin.
La myopathie de Duchenne est une maladie génétique récessive. Autrement dit, pour exprimer tous les symptômes de la maladie, tous les chromosomes X en possession de la personne doivent comporter le gène malade. De cette manière, les garçons sont plus touchés par cette maladie, car un seul chromosome doit être atteint pour que la maladie soit exprimée. On note 1 naissance sur 3500 où le garçon est atteint de la myopathie de Duchenne, soit environ 2500 personnes sont atteintes de cette maladie en France. Les filles aussi peuvent être touchées par cette mutation, mais elles ne représentent qu’un pourcentage infime de la population.
Une mutation sur le chromosome X : altération de la dystrophine
La mutation concerne le gène DMD codant pour la dystrophine. Comme décrit plus haut, la dystrophine est une protéine importante car elle est le support de plusieurs autres protéines dont l’ensemble est nécessaire à la protection du myocyte. Cependant, la dystrophine produite à la suite de cette mutation est beaucoup plus courte que la normale. Repérée par le corps comme défectueuse, elle sera alors détruite.
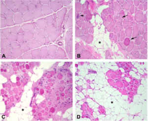
Ainsi, les cellules musculaires sont dépourvues de dystrophine : les muscles lisses, squelettiques et cardiaques en manquent. A force de contraction la membrane des muscles sera donc abîmée, les myofibrilles désordonnées, entrainant l’altération du myocyte et donc la destruction de la cellule musculaire. Malheureusement, le système du corps réparant les muscles est trop lent pour pouvoir contrer l’évolution de la maladie.
Symptômes de la myopathie de Duchenne
Les cellules contenant normalement de la dystrophine se situent principalement dans les cellules musculaires. Ainsi, l’altération du gène DMD entraine une dégénérescence progressive de l’ensemble des muscles de notre corps. Autrement dit, la myopathie de Duchenne est responsable d’un affaiblissement des muscles d’abord de façon locale, puis de façon générale.
- On observe les effets de cette maladie génétique rare vers les 3 ans de l’enfant. Celui-ci a des difficultés à marcher, tombe souvent, et se relève difficilement.
- Ensuite, cet affaiblissement remonte le long des jambes pour atteindre le dos vers la pré-adolescence. Cet évènement oblige la plupart des enfants atteint de la myopathie de Duchenne à se déplacer en fauteuil roulant dès l’âge de 10-12 ans. La poussée de croissance qui suit peut provoquer la formation d’une scoliose importante, allant jusqu’à empêcher les voies respiratoires de fonctionner normalement, et donc facilitant la survenue d’infections pulmonaires.
- Par la suite, les muscles lisses des intestins, de l’œsophage, mais aussi les muscles cardiaques s’affaiblissent.
La personne a vraiment des difficultés à se maintenir debout et doit donc rester assise ou allongée. Mais ce comportement est à l’origine de conséquences négatives. En effet, la position assise/allongée quasi-permanent affaiblit le corps :
- Fractures dues à une déminéralisation des os, plus connue sous le terme d’ostéoporose.
- Problèmes de digestion dus à l’altération des cellules musculaires au niveau des intestins. Le transit ne se fait pas normalement et peut donc être à l’origine d’une constipation.
- Incontinence due à la dysfonction des muscles “sphincters”. Ces muscles s’apparentent à des portes : si les muscles ne peuvent plus se contracter, les portes ne peuvent plus se fermer. Ici, l’urine est donc libérée involontairement.
- A la vue de son état, une personne atteinte de myopathie de Duchenne peut également souffrir d’un trouble anxieux, dû au stress de la perte de contrôle de son corps. Elle peut également souffrir de dépression qui peut aussi être dû au manque de dystrophine au niveau du cortex cérébelleux.
Comme on peut le penser, les nombreux effets directs et secondaires n’offrent pas aux personnes atteintes de cette maladie une espérance de vie très longue. Au lieu de vivre 80 ans, âge moyen français, leur durée de vie est limitée entre 25 et 40 ans selon les conditions de vie, le niveau d’altération des muscles et les pratiques utilisées. En effet, certaines approches sont proposées aux patients afin de les soulager. Mais quelles sont les solutions proposées ? Existe-t-il une solution radicale pour guérir de la myopathie de Duchenne ?
Traitements de la myopathie de Duchenne
La myopathie de Duchenne est une maladie génétique héréditaire. De cette manière, il n’existe actuellement pas de solution permettant d’en guérir aujourd’hui. Mais il se pourrait que dans quelques années la thérapie génique réponde à ce désir d’en guérir totalement. Actuellement, plusieurs essais cliniques utilisant la manipulation génétique sont en cours : certains sur des animaux (souris et chiens), d’autres encore sur des humains pour les essais les plus avancés. Les résultats obtenus aujourd’hui sont prometteurs, nous laissant imaginer sans soucis la possibilité future d’utiliser cette technique.
Outre la thérapie génique, les effets secondaires peuvent être traités afin de soulager la vie de la personne et même de la prolonger. Ainsi, elle peut se voir prescrire des médicaments dont les buts sont variés :
- Réduire les insuffisances cardiaques pour aider le cœur à battre.
- Réduire les infections respiratoires dues à la scoliose et au manque de muscles opérationnels, normalement utiles pour expulser les bactéries et autres virus.
- Réduire l’évolution de la maladie sans pour autant la freiner totalement, grâce à l’utilisation de corticoïdes. Il est cependant délicat de les utiliser car ils peuvent aussi être à l’origine d’effets secondaires.
- Optimiser la fonction musculaire et prévenir le risque de fractures par la kinésithérapie. On peut également l’utiliser afin d’améliorer les fonctions respiratoires. Souvent, une chirurgie est utilisée en complément afin de maintenir la position de ces voies.
Les nombreuses conséquences nécessitent des suivies réguliers de ces personnes atteintes de la myopathie de Duchenne.
Même si la dystrophie musculaire de Duchenne est une maladie génétique rare, de nombreux moyens ont été mis en place afin de soutenir psychologiquement et physiquement les personnes souffrant de cette myopathie, notamment grâce au Téléthon.
Si vous souhaitez aller plus loin, je vous invite à regarder cette vidéo :
Vidéo : La myopathie de Duchenne – Avec Fred et Jamy, (source : https://www.youtube.com)
Merci beaucoup d’avoir pris le temps de lire cet article jusqu’à la fin. Cette maladie, comme beaucoup d’autres, est dure à vivre. Si vous souhaitez réagir sur ce sujet ou nous faire part de vos sentiments et/ou expériences, n’hésitez pas à écrire un commentaire ! Nous y répondrons avec plaisir.















